Search This Blog

Tuesday, January 29, 2013

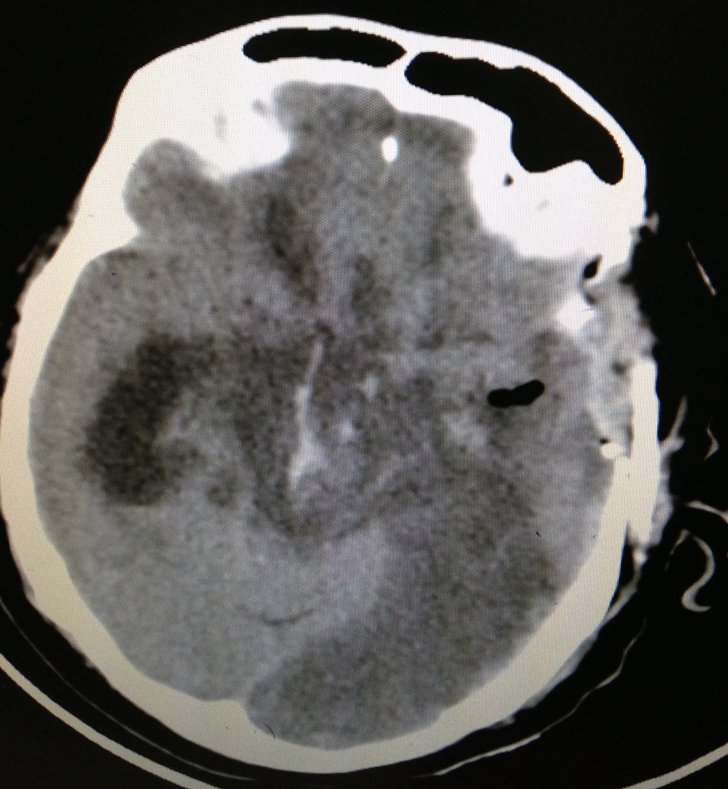
Hypertension: The Silent Killer

A 70 yr old male patient presented with complaints of sudden onset giddiness, headache, vomiting and right sided weakness of the body since 2 hrs. He was a known hypertensive and had underlying coronary artery disease for which he was on regular medications (except anti platelet drugs). However, he failed to monitor his blood pressure. On examination, his BP was 240/120 mm Hg, pupils bilaterally constricted and reacting to light. He was in a delirious state, though he could obey commands and recognize relatives. His power was 3/5 in right upper and lower limbs.
His CT Brain was done.

It showed a basal ganglia bleed with intraventricular extension with a minimal mass effect. 

The patient was managed conservatively and watched for any neuro deterioration. After 6 hrs, he started becoming progressively drowsy. Pupils were still reacting. The power on right side was markedly reduced now.
A repeat scan was advised.

The bleed had increased markedly with significant mass effect.

A craniotomy was performed with a guarded prognosis with an aim to decompress.
After 12 hrs of neurosurgical intervention, patient remained deeply comatose. A CT scan was performed.


Reduction in the bleed. However a fresh large PCA territory infarct noted.
    

The patient till today remains comatose and on ventilatory support system. Prognosis is very poor.
Relatives and doctors alike are just waiting for the inevitable.

Thursday, January 24, 2013

Burrrpups


Belching (Eructation) and hiccups (singultus) occur occasionally and are regarded as normal behavior. However, when belching or hiccups occur in high frequency or become persistent this can become very bothersome and a reason for consultation.

BELCHING:


In a patient with excessive belching, gastric and supragastric belches are distinguished and this distinction has consequences for therapy.
Gastric belching is the escape of swallowed intragastric air that enters the esophagus during a transient lower-esophageal sphincter relaxation.
Gastric belches are physiological, involuntary and are controlled entirely by reflexes.
In supragastric belches the air does not originate from the stomach but is ingested immediately before it is expelled again. Supragastric belches are not a reflex but instead are the result of human behavior.

Some patients consult with isolated excessive belching and report that they suffer from episodes of frequent belching in which they may belch up to 20 times a minute. These patients may show spells of excessive belching during consultation with their physician. Patients who complain of isolated excessive belching almost without exception suffer from excessive uncontrolled supragastric belching. A high prevalence of anxiety disorders has been described in these patients and some patients report that their symptoms increase during stressful events. Excessive belching also has been described in patients with obsessive compulsive disorder, bulimia nervosa, and encephalitis. Many patients stop belching during speaking and it has been shown that distraction also reduces the frequency of belching whereas putting attention to their belching behavior usually results in an increase in belching frequency. Supragastric belching is never observed during sleep.

Patients with excessive supragastric belching usually have no other symptoms besides sometimes some dyspeptic symptoms. The presence of weight loss, pain, dysphagia, heartburn, and regurgitation are not compatible with excessive supragastric belching and are an indication for further diagnostic evaluation.

HICCUPS:



Hiccups can be classified based on duration. Hiccups lasting more than 48 hours are categorized as "persistent" and hiccups lasting more than 1 month are referred to as "intractable.


Persistent hiccups can be the first presentation of serious disorders and an underlying cause should be searched for.

Stroke, meningitis, dissension of stomach with air or food, drinking hot fluids,  gastroesophageal reflux, uremia and angina are common causes.When no underlying cause is found, treatment is symptomatic.

Simple maneuvers like scaring the patient, rapid uninterrupted drinking, breath holding, swallowing sugar, carotid massage, may be tried.

Drugs used are Chlorpromazine, Baclofen, metoclopramide and midazolam.

AEROPHAGIA:



Aerophagia is a disorder in which patients swallow too much air; this air accumulates in the stomach, intestines, and colon, and causes abdominal distention and bloating. Not only children but also adults can suffer from this disorder. Aerophagia can occur in sudden attacks but also more chronically. It is important that explorative laparotomies are avoided in these patients because they do not suffer from an ileus. Now that patients with aerophagia can be identified, the search is for an effective treatment.
However, patients may be advised to restrict carbonated beverages and eat slowly.

http://www.medscape.com/viewarticle/776875_3

Tuesday, January 22, 2013

Bariatrix

Weight-Loss Surgery May Not Cure Diabetes. It is Only Temporary Remission. About 35% patients have Relapse within 5 years regardless of Weight gain.


Analysis of 4434 pts,Obesity Surg,Nov12

Berry Berry

Consumption of Blueberry,Strawberry,Blackberry & Black Currants due to their Rich content of Anthocyanins(Flavenoid with Antioxidant & Antiinflamatory effects) is associated with 32% reduction in Risk of Myocardial infarction ( heart attack)


Circulation,Jan13

Eggstatic

Higher consumption of Eggs(up to one egg per day) is associated with Increased risk of Coronary Artery Disease in Diabetics but not in Non Diabetics.


BMJ,Jan13